当前位置:郑州大学第二附属医院>临床技术
3D电子镜细胞净色疗法的分级分诊、对症施术
来源:郑州大学第二附属医院 点击此处进入咨询
3D电子镜细胞净色疗法利用计算机三维断层成像技术,靶向病灶部位,根据胎记表皮和内在分布密度和面积,进行精确定位分级分型。
一、根据外在表皮面积标准划分:
1、轻度:胎记面积小于5-10cm2 一般指儿童胎记;
2、中度:胎记面积大于10-20cm2 ,一般人群集中在青少年;
3、重度:胎记面积大于30cm2 以上,一般指成人胎记。
二、根据内在色素沉着分布性质标准划分:



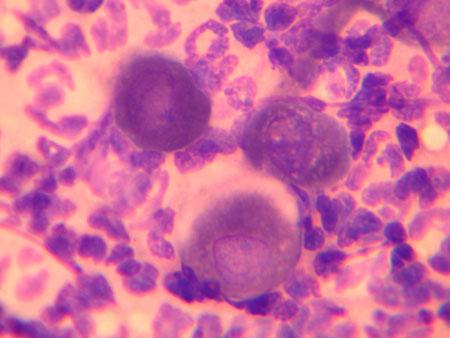
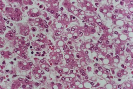
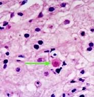
(图1、病变色素细胞) (图2、样变色素细胞) (图3、变异色素细胞)
1、沉着色素堆积:色素增加性疾病是一类临床上常见的碍容性皮肤病。其中内在色素大量堆积容易形成胎记、黑色素、胆色素等,大部分胎记属沉着色素堆积,通过分离、分解均可以被清除。
2、病变变异色素细胞:有些胎记通过计算机三维断层成像技术成像检测为病变异常色素细胞,此类色素细胞在临床上一般不易被发现,难以通过单纯光学进行消除,消除表面色素后容易复发。
皮肤色素样变:正常皮肤的颜色主要由皮肤内黑色素的含量多少来决定其次如类黑素、胡萝卜素以及皮肤血液内氧化与还原血红蛋白的含量有关,皮肤色素异常的 表现为皮肤颜色的异常。除与上述因素的增加或减少有关外,还可由药物(阿的平氯苯吩嗪)、金属(如砷、鈊)异物(如染料、粉尘、文身)代谢产物(如黄疽) 及皮肤病理改变所致。

走过62个春秋的郑州大学第二附属医院,在省内省外独具特色、闻名遐迩。历经几十年风雨沧桑,凭借几代人薪火相传,从小到大,由弱到...[详细]














